Врачи Мытищинского сосудистого центра спасли пациента с нетипичной картиной «ночного» инсульта

20 ноября 2025 17:18
419

48-летний мужчина поступил в Региональный сосудистый центр Мытищинской больницы с жалобами на сильное головокружение и тошноту, с которыми он проснулся утром и которые беспокоили его уже несколько месяцев. 

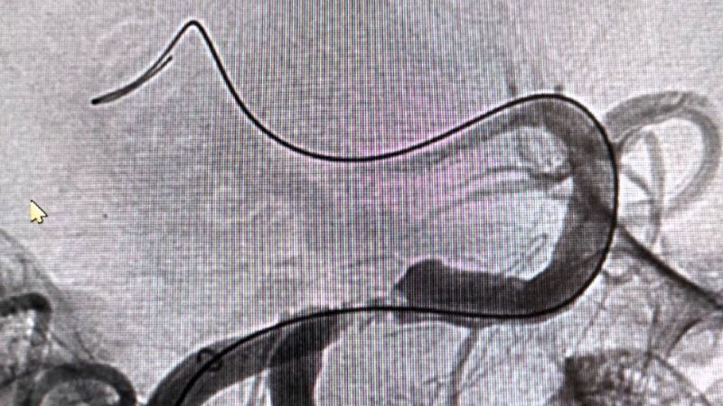
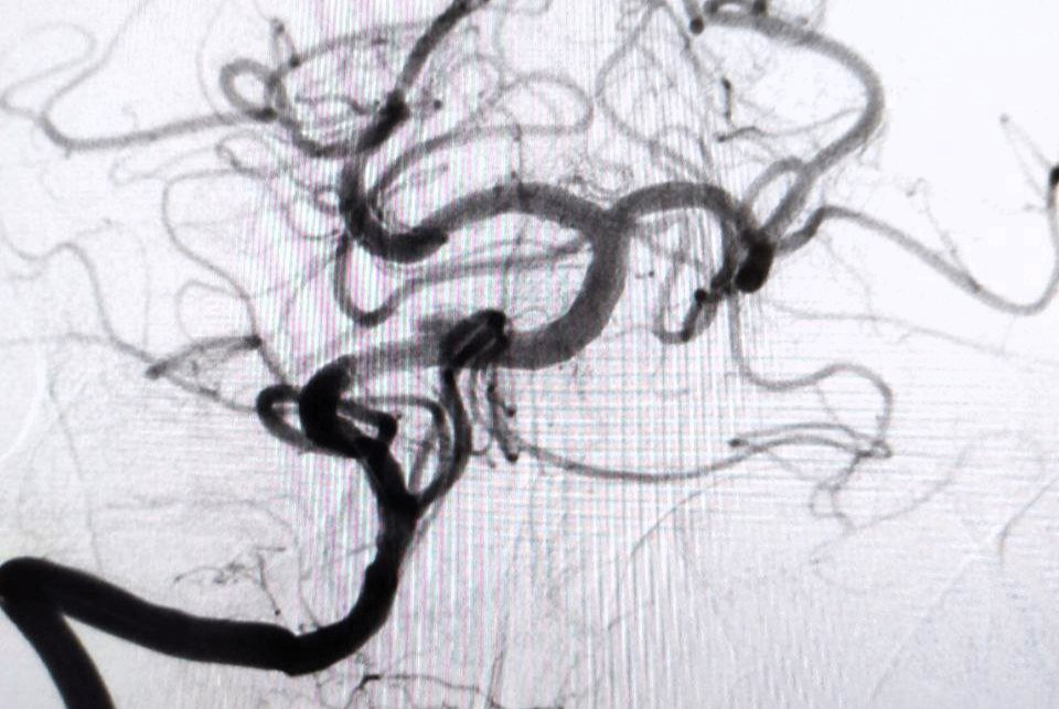
По словам заведующего отделением рентгенохирургических методов диагностики и лечения РСЦ Антона Аналеева, причиной стало образование атеросклеротической бляшки, перекрывшей главную артерию, снабжающую кровью ключевые участки мозга.

«Этот тип инсульта коварен тем, что не проявляется типичными симптомами, такими как нарушение речи или двигательных функций конечностей, что затрудняет его диагностику и является крайне опасным состоянием с высоким риском летального исхода. К счастью, мы успели вовремя, операция прошла успешно, пациент полностью восстановился», – отметил он.

Благодаря вовремя поставленному диагнозу пациенту экстренно провели операцию, в ходе которой удалили тромб, а также установили стент.

Врачи Мытищинского сосудистого центра рекомендуют не пренебрегать такими тревожными признаками, как частые головокружения и шаткая походка, ведь они могут указывать на угрозу сосудистой катастрофы.

Фото: Мытищинская областная клиническая больница

 

Источник: официальный telegram-канал администрации городского округа Мытищи https://t.me/pressmytyshi